對多數人來說,一顆門牙的缺失,遠不只是一顆牙齒的遺憾,而是一抹笑容的中斷、一句話語的遮掩,更是一種自信的缺口。這位前來台中秀谷牙醫的女性患者,便因為門牙的問題,導致生活上的許多不便,甚至不敢放肆大笑。經過李健豪醫師的評估與診斷,患者選擇以單顆人工植牙的方式進行重建,如今,笑容不再躲藏,自信也悄悄歸位。
門牙重建,關乎的不只是美觀
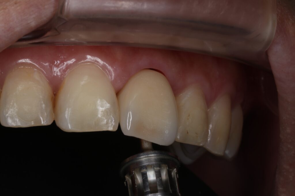
從前牙美學的角度來說,門牙位在微笑曲線最明顯的位置,任何細節都攸關整體表情與自我形象。對於女性患者而言,在意的不只是能不能咬東西,而是當她開口說話、微笑、拍照時,那顆牙齒是否能自然無痕地融入笑容之中。對於門牙區的治療與重建,醫師除了在手術中要精準植入,更必須兼顧美學、對稱與牙齦線條的和諧,因此秀谷牙醫在治療的每個階段都會交由專門的醫師協同治療。
專業分工協同治療
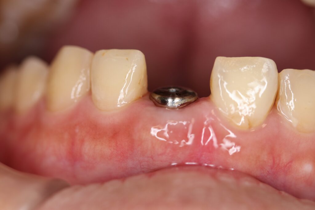
本案例的患者由擅長各類口腔手術的,衛福部定口腔外科專科黃心若醫師負責植牙,在手術之前先透過X光、3D斷層掃描,仔細評估齒槽骨的條件與牙周狀況是否符合人工植牙的門檻。並選用國際大廠牌的植體及其他牙材,除了力求手術成功之外,也希望這顆植牙術後能讓患者用使用得更無後顧之憂、更有保障。
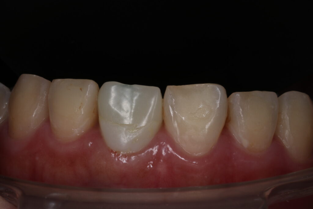
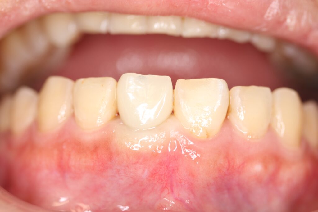
手術後的假牙則由擅長顯微假牙製程的李健豪醫師負責,由於門牙區屬於「前牙審美區」,對假牙形狀、透光度、材質等細節的要求更高。李醫師選用與患者自然牙色澤、光澤度相近的全瓷牙冠,並根據鄰牙的形態針對牙齦弧線細微調整,讓假牙與自然牙能更融合。
「這次,我終於敢放心微笑了。」
完成療程後,患者在鏡子前靜靜望著自己的笑容,語氣平靜卻藏不住開心。患者過去因門牙問題不僅影響咀嚼功能,更是常常習慣性遮嘴、避免拍照,如今可以自然說話、自信露齒,不再為外觀困擾。這份轉變的背後,不只是口腔功能的修復,更是自我價值與生活品質的重建。李醫師強調:「門牙植牙不是單純的手術而已,而是將咀嚼、美觀與自信整合起來的療程。」
由下方照片中可明顯看出術前術後的差別,以及假牙的擬真程度。








秀谷牙醫診所有多位不同科別的專科醫師,包含牙周、矯正、牙髓、口腔外科等,因此在治療中的每個階段我們都能交由專門的醫師來負責,讓患者在每個階段都能得到更高品質的治療。對於李健豪醫師而言,無論是單顆植牙、前牙重建或全口重建,李醫師都會站在患者的角度,為患者想遠一點,希望患者得到更專業的治療,也希望每顆植牙都能讓患者使用得更長久。台中秀谷牙醫團隊更結合數位科技與溫暖服務,讓每一位患者在這裡都能安心重拾笑容。



